إعلان

ضحية إهمال طبيب أسنان في الزقازيق يستغيث بوزارة الصحة

كتب : مصراوي

09:29 م 05/12/2025

تابعنا على

الشرقية - ياسمين عزت:

أطلق الشاب إسلام رجب، البالغ من العمر 32 عامًا، صرخة استغاثة إلى وزارة الصحة ونقابة الأسنان وكافة الجهات المعنية، بعد تعرضه بحسب روايته ووفق محضر قانوني بقسم شرطة أول الزقازيق بمديرية أمن الشرقية لمضاعفات خطيرة وأضرار صحية بالغة نتيجة إهمال طبي أثناء خضوعه لعملية زراعة أسنان نهاية مايو 2025 بمدينة الزقازيق.

وأوضح إسلام أنه تردد منذ عام 2017 على طبيب الأسنان ع.ع لإجراء الحشوات ومتابعة حالته الصحية وتركيب الأسنان داخل عيادته بالقصر الأبيض بشارع فاروق بالزقازيق، مشيرًا إلى أنه كان يثق في الطبيب ولا تجمعهما سوى علاقة طيبة "طبيب بمريض".

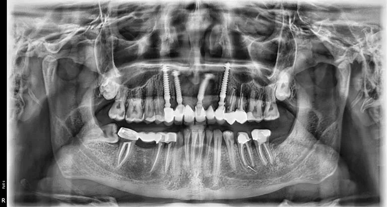
وأضاف أنه في عام 2025 اقترح عليه الطبيب إجراء زراعة أسنان في الفك العلوي، وتم تحديد موعد العملية، إلا أن الطبيب اختار إجراؤها داخل مركز أسنان آخر يملكه طبيب يدعى أ.ع ببرج عنتر بالزقازيق. وتم بالفعل زراعة 4 زرعات بتكلفة تقارب 70 ألف جنيه، على أن تستكمل باقي الإجراءات لاحقًا.

وأشار إسلام إلى أن معاناته بدأت بعد العملية مباشرة، إذ لم تلتئم اللثة رغم مرور ستة أشهر، وبدأ يشعر بإعياء ومشكلات دفعته للتوجه إلى طبيب آخر، والذي طلب منه إجراء أشعة مقطعية وأشعة بانوراما. وقال إنه فوجئ بتشخيص الطبيب بوجود تآكل شديد بعظام الفك العلوي في مواضع الزرع، ووجود خُراجين صديديين، بالإضافة إلى استقرار أحد مسامير الزرعات داخل الجيب الأنفي، وعدم ثبات الزرعات في مكانها.

وأوضح أن عدة أطباء أكدوا له أن هذه المضاعفات نتجت عن العملية، وأن الطبيب الذي أجرى الزراعة لم يطلب أي فحوصات أو إشعات قبلية، مشيرًا إلى أن بعض الأطباء رفضوا كتابة تقارير طبية بالحالة “حتى لا يضعوا أنفسهم في موقف محرج مع الزملاء”.

وأكد إسلام أن الطبيب ع.ع أنكر النتائج التي أظهرتها الأشعة، زاعمًا أن مشكلته تقتصر على ضرورة إزالة مسمار واحد فقط، بينما تنصّل الطبيب الآخر أ.ع صاحب المركز الذي أُجريت به العملية، من المسؤولية وطالبه بالرجوع للطبيب الأول.

وقال إسلام في ختام حديثه: «أنا كنت رايح أتعالج.. مش أعمل لنفسي مصيبة صحية»، مؤكدًا أن حالته تستلزم التخلص من الخُراج الصديدي وتنظيف اللثة وإزالة جميع الزرعات وإعادة تركيب أخرى جديدة، بتكلفة قد تصل حسب تقدير الأطباء إلى 150 ألف جنيه وهذا فوق طاقته المادية فضلا عن تكلفة علاج إضافية كما أن إسلام في حاجة لتدعيم عظام الفك بإجراء عملية أخرى بنقل عظام من الفخذ أو الصدر لإصلاح التدهور نتيجة العملية.

وطالب وزارة الصحة بالتدخل ونقابة الأسنان العامة، لافتًا إلى أنه حرر محضرًا إداريًا رقم 4280 بقسم شرطة أول الزقازيق وينتظر انصافه ومعالجته قبل ضرر جسيم من المؤكد أن يلحق به.

فيديو قد يعجبك



محتوى مدفوع

إعلان

إعلان