إعلان

أطباء يكتشفون خيوط ذهب داخل ركبتي امرأة مسنة.. ما السبب؟

كتب : مصراوي

01:31 م 16/09/2025

تابعنا على

كتبت- أميرة حلمي:

في حادثة طبية غير مألوفة، عثر أطباء في كوريا الجنوبية على مئات الخيوط الذهبية المزروعة في ساقي امرأة تبلغ من العمر 65 عامًا، أثناء علاجها من التهاب مفاصل الركبة.

المريضة، التي لم يُفصح عن هويتها، كانت تعاني منذ سنوات من آلام مبرحة وتيبس في ركبتيها بسبب هشاشة العظام. جُرِّبت معها عدة وسائل علاج تقليدية، شملت المسكنات ومضادات الالتهاب غير الستيرويدية، إضافة إلى الحقن الستيرويدية المباشرة داخل الركبة. لكن كل هذه المحاولات لم تحقق النتائج المرجوة، بل إن بعض الأدوية تسبب لها آثارًا جانبية مزعجة مثل آلام المعدة الشديدة، ما دفعها إلى اللجوء إلى الطب البديل، وتحديدًا إجراء مثير للجدل يُعرف باسم الوخز بالإبر بخيوط الذهب، وذلك بحسب موقع central odditty.

في البداية، خضعت المرأة لجلسات أسبوعية حيث كان يتم زرع خيوط ذهبية صغيرة حول ركبتيها. ومع مرور الوقت، ازداد اعتمادها على هذه الجلسات حتى صارت تزور أخصائي الوخز بالإبر عدة مرات في الأسبوع. ورغم ذلك، لم تتحسن حالتها بل تدهورت أكثر، حتى بات الألم لا يُحتمل واضطرت للعودة مجددًا إلى المستشفى.

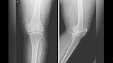
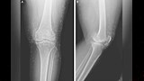
وأظهرت صور الأشعة السينية وجود سماكة وتصلب في الجزء الداخلي من قصبة الساق ونمو عظمي في الركبة، وهي علامات شائعة لهشاشة العظام. إلا أن المفاجأة كانت في اكتشاف مئات من الخيوط الذهبية الدقيقة المزروعة داخل الأنسجة المحيطة بالمفصل.

الأطباء شددوا على أن الوخز بخيوط الذهب لا يستند إلى أي أساس علمي مثبت، بل ينطوي على مخاطر جسيمة. فهذه الخيوط قد تؤدي إلى تكوّن تكيسات أو تتحرك داخل الجسم متسببة في تلف الأنسجة، كما أنها تُعقد من إجراءات التشخيص الدقيقة مثل فحوصات الرنين المغناطيسي، التي قد تكون حاسمة في إنقاذ حياة المريض، نظرًا لاحتمال تحرك المعدن وإحداث أضرار خطيرة بالأوعية الدموية.

هذا النوع من العلاج البديل طُرح لأول مرة قبل ست سنوات ضمن نطاق البحث الطبي، ورغم التحذيرات ما يزال يُمارس على نطاق واسع في عدد من الدول الآسيوية، خاصة بين كبار السن. ويُروَّج له باعتباره وسيلة لتسكين الألم من خلال التحفيز المستمر للجسم بعد زرع الخيوط الذهبية المعقمة.

فيديو قد يعجبك



محتوى مدفوع

إعلان

إعلان