إعلان

6 أعراض تكشف عن احتمالية إصابتك بأمراض القلب ..منها شكل الأظافر

كتبت - نرمين الجلاد:

09:30 م 25/03/2018

تابعنا على

قال الدكتور آدم تايلور كبير المحاضرين في جامعة لانكستر، إن هناك 6 علامات غير عادية تكشف عن الإصابة بأمراض القلب، قبل الدخول في نوبة القلبية، وبدء المعاناة التي قد تؤدي في النهاية إلى الموت، حسب ما جاء في موقع"روسيا اليوم".

1-شحمة الأذن المجعدة:

من بين العلامات الخارجية المرئية التي قد تدل بشكل مبكر على الإصابة بأمراض القلب، هي التجاعيد الظاهرة على شحمة الأذن والتي تسمى "علامة فرانك"، والتي وصفها لأول مرة الطبيب الأمريكي، ساندرز فرانك.

وقد أظهرت الدراسات أن هناك ارتباطا بنسبة 40% بين هذه الميزة في الأذن وزيادة خطر الإصابة بتصلب الشرايين، وهو مرض تتراكم فيه اللويحات داخل الشرايين، إلا أنه من غير الواضح سبب هذا الارتباط حتى الآن.

2-نتوءات دهنية:

قد تكون النتوءات الصفراء الدهنية المعروفة باسم "زانثوماس" والتي تظهر على المرفقين والركبتين والأرداف والجفون، إحدى المؤشرات الخارجية المرتبطة بالإصابة بأمراض القلب، وتشاهد عادة الأورام الزانثومية في الأشخاص المصابين بمرض وراثي يسمى "familial hypercholesterolemia".

ولدى الأشخاص الذين يعانون من هذه الحالة مستويات عالية بشكل استثنائي من الكوليسترول الدهني منخفض الكثافة، ما يسمى بـ"الكوليسترول السيئ"، ومستوياته مرتفعة لدرجة أنها تترسب في الجلد، كما أن هذه الرواسب الدهنية يمكن أن تترسب في الشرايين التي تتصل بالقلب.

3-:أضافر اليدين:

تتغير أظافر اليدين وتصبح أكثر كثافة وأكثر اتساعًا، وذلك بسبب إنتاج المزيد من الأنسجة، وعادة ما يكون التغيير غير مؤلم ويحدث في كلتا اليدين، لأن الدم المؤكسد يصل إلى الأصابع بشكل صحيح، وبالتالي تنتج الخلايا "عاملا" يعزز النمو في محاولة لتصحيح المشكلة.

4- هالة حول القزحية:

تتكون رواسب الدهون في العين، على شكل هالة رمادية حول الجزء الخارجية من القزحية، "الجزء الملون من العين".

وقد تبين أن وجود هذه الحلقة الدهنية يرتبط ببعض عوامل الخطر لمرض القلب التاجي.

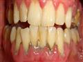
5- اللثة الملتهبة وفقدان الأسنان:

يمكن للبكتيريا "السيئة" دخول مجرى الدم من الفم وتسبب التهاب في الأوعية الدموية، مما قد يؤدي إلى أمراض القلب والأوعية الدموية.

وقد أظهرت الدراسات أن فقدان الأسنان واللثة الملتهبة هي علامات لأمراض القلب.

يميل الشفاه إلى الأزرق في الأشخاص الذين يعانون من مشاكل في القلب، وذلك بسبب فشل نظام القلب والأوعية الدموية لتوصيل الدم بالأكسجين إلى الأنسجة.

 

فيديو قد يعجبك



محتوى مدفوع

إعلان

إعلان