إعلان

"كسور وخلع بالكتف".. تدخل طبي ينقذ طالب أصيب في نشاط مدرسي بكفر الشيخ- صور

كتب : مصراوي

08:11 ص 11/12/2025

تابعنا على


كفر الشيخ- إسلام عمار:

شهد مستشفى دسوق العام في كفر الشيخ، نجاحًا طبيًا جديدًا، بإنقاذ طالب تعرض لإصابات بالغة خلال مشاركته في نشاط رياضي داخل مدرسته، في واقعة تحوّل فيها النشاط المدرسي إلى حالة طارئة استدعت تدخلًا سريعًا.

كان قسم الاستقبال والطوارئ بمستشفى دسوق العام، استقبل طالبًا يبلغ من العمر 16 عامًا، مصابًا بعدة كسور نتيجة مشاركته في نشاط رياضي داخل مدرسته، فيما بادر فريق طبي بإجراء فحص سريري دقيق مدعوم بأشعة متطورة، كشفت عن إصابات معقدة للطالب.

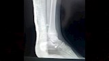
وتضمنت الإصابات كسرًا مضاعفًا في مركز النمو أسفل عظمة القصبة اليسرى، وكسرًا أسفل عظمة الشظية اليسرى، وخلعًا كاملًا في مفصل الكاحل الأيسر، وفقًا لخطورة الإصابات وتأثر مركز النمو، سارع الفريق الطبي إلى اتخاذ قرار بالتدخل العاجل منعًا لتأثير مستقبلي على حركة الطالب أو نمو العظام.

ونجح الفريق في رد الخلع بشكل فوري، أعقبه إجراء عملية تثبيت جراحي للعظام باستخدام أسلاك معدنية، وسط متابعة دقيقة لضمان إعادة العظام إلى موضعها الطبيعي وتفادي أي مضاعفات محتملة، إذ أسهمت سرعة التدخل ودقته في استقرار حالة الطالب سريعًا، قبل أن يغادر المستشفى في حالة جيدة بعد تلقيه الرعاية الطبية الكاملة.

وقال الدكتور علاء الشريف، مدير مستشفى دسوق العام في تصريحات صحفية، إن مستشفى دسوق العام مستمرًا في جاهزيته لاستقبال الحالات الطارئة على مدار الساعة مع الالتزام بتقديم خدمات طبية متقدمة تضع حياة المرضى وسلامتهم على رأس الأولويات.

فيديو قد يعجبك



محتوى مدفوع

إعلان

إعلان