"أغرب من الخيال".. 25 صورة تكشف عن نتائج تحاليل طبية صادمة
كتب : مصراوي
-
عرض 25 صورة
-
عرض 25 صورة
-
عرض 25 صورة
-
عرض 25 صورة
-
عرض 25 صورة
-
عرض 25 صورة
-
عرض 25 صورة
-
عرض 25 صورة
-
عرض 25 صورة
-
عرض 25 صورة
-
عرض 25 صورة
-
عرض 25 صورة
-
عرض 25 صورة
-
عرض 25 صورة
-
عرض 25 صورة
-
عرض 25 صورة
-
عرض 25 صورة
-
عرض 25 صورة
-
عرض 25 صورة
-
عرض 25 صورة
-
عرض 25 صورة
-
عرض 25 صورة
-
عرض 25 صورة
-
عرض 25 صورة
-
عرض 25 صورة
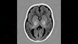
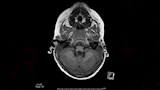
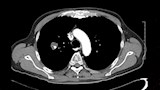
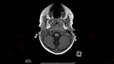
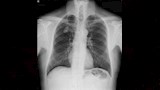
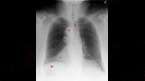
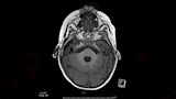
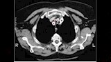
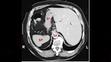
في أروقة مختبرات المستشفيات وعدسات الأطباء داخل أقسام الطوارئ، ظهرت نتائج تحاليل طبية وصفت بـ"الخارجة عن المألوف"، بعضها وصل حد الصدمة لما يحمله من أرقام غير قابلة للتصديق، وهذه الحالات، رغم ندرتها، تبقى بمثابة لغز يستفز العقل ويزيد من شأن المتابعة الطبية الاحترافية.
أغرب نتيجة تحليل
"أغرب نتيجة تحليل رأيتها في حياتي".. بهذه الكلمات وصف أحد مراكز التحاليل الطبية عبر "فيسبوك" حالة غريبة وردتهم من مريض أرسل صورة نتيجة فحصه طالبًا تفسيرها، وسط حالة من الارتباك والدهشة، إذ بدت الأرقام غير منطقية وغير قابلة للفهم.
وما زاد من غرابة الموقف أن الطبيب المعالج شخص الحالة على أنها إصابة بفيروس كورونا، رغم أن مؤشرات التحليل لا تحمل أي دلالة واضحة على ذلك، وفق ما أفاد المركز.
صوديوم 181.. وامرأة مصابة بعدوى هادئة
روى أحد الأطباء المختصين عبر موقع Reddit الذي يتضمن محتوى تم إنشاؤه بواسطة المستخدمين، حالة امرأة ثمانينية واجهت غيبوبة، لتكشف نتيجة تحليل الصوديوم عن رقم 181 مليميول/لتر، وهو رقم يرتفع عن الحدود الطبيعية "135–145" بكثير، لكن المدهش أنها خرجت من المستشفى بصحة جيدة.
كريات بيضاء بقياسات "مرعبة"
أبلغ طبيب في أحد المستشفيات الأمريكية عن حالة لمريض نخر بالدم عدد كريات بيضاء تخطت 900,000 خلية لكل ميكرولتر، بينما الرقم الطبيعي لا يتجاوز 11,000، فيما كان ذلك في إطار ورم دموي حاد تم فيها إجراء "ليوكوفيرسيس" عاجل لتقليلها.
كريات الدم البيضاء برقم مليوني
في أشهر حالات الابيضاض، ذكر أحد الأطباء أن طفلاً شخصت حالته بعد التشخيص المخبري تجاوز فيها عدد كريات الدم البيضاء 1.5 مليون خلية، وتم استنساخ العينة لتحديد دقتها.
سكر الدم 1,750 ووظائف الكلى تتجاوز 125,000
شارك فني مخبر اقتراحًا بأن أعلى قراءة للسكر التي صادفها لدى أحد المرضى كانت 1,750 ملجم/ديسيلتر في حين أن الطبيعي أقل من 200، بينما أعلى بوتاسيوم كان 7.9 وهو الحد الحرج، وارتفاع الكرياتين كيناز تجاوز 125,000 U/L، ما يدل على تحلل عضلي شديد، وفقا لموقع comicsands.
نتيجة صوديوم بلغت 555
أفاد مختبر بأن نتيجة صوديوم بلغت 555، وبعد لحظات توفي المريض، مما دفع الخبراء للتوقع بأن ذلك ناتج عن خلل تحليلي خطير أو خطأ بشري داخل المخبر.
5 أطعمة شائعة تفسد رشاقتك ليلا.. ابتعد عنها قبل النوم
من مطبخك.. 6 وتوابل بسيطة تذيب الدهون وتحميك من السرطان
تنقي رئتيك.. 6 مشروبات تحارب آثار التلوث على الجسم
لماذا تشعر أن أحدا يراقبك وأنت جالس بمفردك؟ السبب مفاجأة
6 أخطاء في الإفطار تسرق طاقتك من أول ساعة.. احذرها