إعلان

إليك ما يحدث للجسم إذا كنت تتناول المشروبات الغازية يوميا

كتبت نور جمال

11:00 ص 11/06/2021

تابعنا على

كثير من الناس يحبون المشروبات الغازية ويشربونها بكثرة حتى يمكن أن تصل لأكثر من مرة في اليوم، بل يتطور الأمر عند البعض إلى حد الإدمان.

ولتناول الصودا يوميا آثار جانبية على جسمك نوردها لكم، وفق ما أورد موقع "Bright Side".

1- نقص الفيتامين:

يبدأ حمض الفوسفوريك الموجود في المشروبات الغازية مع الكافيين، والذي له تأثير مدر للبول، في غسل العناصر الغذائية والفيتامينات من جسمك بعد 60 دقيقة من تناول المشروب، تخيل أن هذا يحدث كل يوم في جسمك وهكذا يبدأ نقص الفيتامينات.

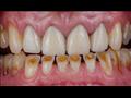
2- تآكل الأسنان:

تسبب الحموضة العالية والمكونات السكرية فيها تأكل مينا الأسنان وتسوسها، إذا أضفت مستويات منخفضة من الكالسيوم بسبب نقص الفيتامينات، فقد ينتهي بك الأمر مع أسنانك المتأكلة من الداخل والخارج، ولن يستغرق الأمر وقتًا طويلاً.

3- القلق:

إلى جانب الحرمان من النوم، يعد القلق أحد الآثار الجانبية لاستهلاك الكافيين والصودا، حيث تحتوي كل علبة منها على نفس كمية الكافيين الموجودة في فنجان قهوة قوية، ثبت أيضًا أنه يسبب الإدمان، لذلك بمجرد أن تقرر خفض جرعتك، قد تعاني من الصداع، والتهيج في المعدة، والتعب، أو حتى الاكتئاب.

4- السمنة:

عندما نتحدث عن الوزن الزائد، فإن الأمر لا يتعلق بمظهرك بقدر ما يتعلق بما تشعر به، الوزن الزائد ليس مشكلة في حد ذاته، لكنه يزيد الضغط على الجهاز المناعي والقلب والأوعية الدموية وكذلك المفاصل والعظام، والتي تضعف بالفعل بسبب نقص الكالسيوم، وكل ذلك يمكن أن تسببه المشروبات الغازية.

5- مشاكل الجلد:

شربها كل يوم له نفس التأثير على بشرتك مثل التدخين، استهلاك الصودا له تأثير التهابي على الجسم بسبب ارتفاع مستويات السكر، يجفف البشرة، مما يؤكد ظهور الخطوط الدقيقة والتجاعيد، ويسرع شيخوخة الجلد، مما يجعلها مترهلة وباهتة، كما أنه له سبب كبير في الإكزيما، أو البشرة شديدة الجفاف، والحكة، والتهاب الجلد، وحب الشباب.

6- مشاكل في القلب والدم:

زيادة مستوى الكوليسترول السيئ يزيد من فرص الإصابة بنوبة قلبية، إذا تشرب علبة واحدة فقط في اليوم، يمكنك أن تبدأ بالفعل في المعاناة من ارتفاع ضغط الدم، وأيضاً النساء اللائي يستهلكن هذه الكميات منها أكثر عرضة للإصابة بمرض السكري من النوع 2.

7- خطر الاصابة بالسرطان:

لكن نظرًا لوجود جزيئات البنزين فيها وعبوتها البلاستيكية، يوصي الأطباء بالالتزام بعلبة واحدة منها أسبوعيًا لتقليل خطر الإصابة بالسرطان.

8- الفشل الكلوي:

ربما لا تحتوي المشروبات الغازية الخالية من السكر على السكر على الإطلاق، ولكن بدلاً من ذلك، تحتوي على محليات صناعية غير صحية جدًا لكليتيك يمكن أن تسبب لك فشل كلوي، خاصة إذا كنت مدمنًا على تناولها كل يوم.

فيديو قد يعجبك



محتوى مدفوع

إعلان

إعلان