إعلان

سيدة روسية تعيش بإبرة داخل دماغها طوال 80 عاما.. محاولة قتل بسبب الجوع

كتب : مصراوي

12:34 م 09/10/2023

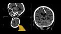
ابرة داخل دماغ امرأة

تابعنا على

عثر أطباء في منطقة سخالين الروسية على إبرة طولها 3 سنتيمترات، ظلت موجودة داخل دماغ امرأة مسنة طوال 80 عاما، بعد أن توصل الأطباء إلى هذا الاكتشاف غير المتوقع خلال الأشعة المقطعية.

ويعتقد الأطباء أن المرأة كانت ضحية لعملية قتل فاشلة نفذها والداها، وقالوا إنهم لن يحاولوا إزالة الإبرة خوفا من تفاقم حالتها.

وقالت إدارة الصحة المحلية النائية: "مثل هذه الحالات كانت شائعة خلال سنوات المجاعة".

وقالت إن والديها ربما قررا إعدام طفلتهما خلال الحرب العالمية الثانية، لأنها كانت تعيش مع إبرة يبلغ طولها 3 سنتيمترات منذ ولادتها.

وقالت إن هذه الطريقة غالبا ما تستخدم لإخفاء أدلة الجريمة، وفقا لموقع ساينس ألرت العلمي.

كان نقص الغذاء سائدًا في جميع أنحاء الاتحاد السوفيتي خلال الحرب، وعاش الكثير من الناس في فقر مدقع.

وقالت إدارة الصحة المحلية: "اخترقت الإبرة الفص الجداري الأيسر، لكن لم يكن لها التأثير المقصود، فقد نجت الفتاة".

وقالت إن المريض لم يعان من الصداع بسبب الإصابة، ولم يكن في أي خطر.

وأضافت أن "حالتها تحت المتابعة من قبل الطبيب المعالج".

فيديو قد يعجبك



محتوى مدفوع

إعلان

إعلان