إعلان

صور.. دودة طفيلية تفاجئ الأطباء داخل دماغ امرأة أسترالية

كتب : مصراوي

09:45 م 02/11/2023

تابعنا على

كتبت- شيماء مرسي

أصيب الأطباء بالذهول من حالة امرأة عانت من مجموعة أعراض غامضة ولم يتوقعوا أبدًا أن يجدوا دودة طفيلية تتحرك داخل دماغها.

وأُدْخِلَت المرأة البالغة من العمر 64 عامًا من مدينة نيو ساوث ويلز بأستراليا، إلى المستشفى، وذكرت أنها عانت من آلام في البطن وإسهال لمدة ثلاثة أسابيع، وسعال جاف وتعرق ليلي، وفقًا لتقرير الحالة الذي نشرته مراكز السيطرة على الأمراض والوقاية منها (CDC).

وعند فحصها، رأى الأطباء وجود بقع في رئتيها والكبد والطحال، وفقا لصحيفة "ذا صن" البريطانية.

وذهبت المرأة للمستشفى مرة أخرى بعد ثلاثة أسابيع، وكانت تعاني من الحمى والسعال.

وكشف الأطباء أول دليل حول السبب وراء حالتها الغامضة بعد أن أجريت فحص بالأشعة المقطعية، والذي يلتقط صوراً مفصلة لداخل الجسم.

وأظهرت الأشعة أن بعض البقع في رئتيها تبدو وكأنها تتحرك، والدليل الثاني ظهر عندما بدأت تعاني من النسيان والاكتئاب على مدى ثلاثة أشهر.

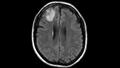
وأظهر فحص التصوير بالرنين المغناطيسي لدماغ المرأة ضوءًا خافتًا غير واضح في الفص الجبهي الأيمن.

وأوضح طبيب الأمراض المعدية في الجامعة الوطنية الأسترالية ومستشفى كانبيرا، "سانجايا سيناناياكي"، إن هذا الضوء الذي ظهر أثناء عمليات المسح يمكن أن يكون سرطانا أو جيبا من القيح "إفرازات بيضاء أو صفراء أو خضراء تتكون من خلايا الدم البيضاء الميتة والبكتيريا".

وقرر جراح الأعصاب الأمريكي الدكتور هاري بريا باندي إجراء خزعة من دماغ المرأة "إزالة جزء صغير من الأنسجة".

وقال: "لقد لاحظت هيكلًا غريبًا يشبه الزنبرك "سلك ملوي بشكل حلزوني" أثناء العملية والتقطته بالملقط، وكان آخر شيء توقعت الإمساك به هو دودة حمراء وردية تتحرك".

وبعد ذلك بدأ فريق الأطباء في التعرف على الدودة حتى يتمكنوا من علاج المرأة بشكل صحيح.

وتفاجأوا عندما اكتشفوا أن الدودة، التي تسمى Ophidascaris robertsi ، لا تصيب البشر عادةً، ولكن من المعتاد أن تتواجد في الثعابين والثدييات الصغيرة، مثل الثعابين السجادية والجرذان أو الأبوسوم.

وفي الواقع، هذه هي المرة الأولى في العالم التي يتم فيها العثور على هذا النوع من الطفيليات في الإنسان.

وأوضح الأطباء: "أن المريضة كانت تقيم بالقرب من منطقة بحيرة تسكنها ثعابين السجاد، وعلى الرغم من عدم وجود اتصال مباشر بالثعابين، إلا أنها غالبًا ما كانت تجمع النباتات المحلية، والخضراوات الورقية، من جميع أنحاء البحيرة لاستخدامها في الطهي.

ولقد افترضنا أنها استهلكت عن غير قصد بيض O. robertsi إما مباشرة من النباتات أو بشكل غير مباشر عن طريق تلوث يديها أو معدات المطبخ.

وكان من المفترض أن يفقس البيض في جسدها، حيث تتجول اليرقات عبر أعضائها وتسبب أضرارًا في طريقها.

وبعد إزالة الدودة من دماغ المريضة، عالجها الأطباء بأدوية قتل الطفيليات، ما أدى إلى تحسن أعراضها.

ولتقليل فرصة الإصابة بهذه الأنواع من العدوى، يجب التأكد من غسل اليدين جيدا إذا كنت تتعامل مع النباتات أو الحياة البرية، أو تطبخ وتستهلك النباتات، فتأكد من طهيها جيدًا".

اقرأ أيضا:

ختم اللحم.. حقيقة خطورته وكيفية التفرقة بين المزور والسليم

علامات إذا ظهرت بالأذن احذرها دليل على القاتل الصامت

مدرسة روسية تثير الجدل بتركيب كاميرات مراقبة في مرحاض الفتيات.. هذا ما حدث

5 أبراج لديها تعثرات صحية في الأيام المقبلة… عليهم الحذر

كي تتحول إلى قطة.. لن تتوقع ما فعلته إيطالية بجسدها

اعرف برجك من تاريخ ميلادك

فيديو قد يعجبك

إعلان

إعلان