إعلان

أسباب وضع الأطفال أصابعهم داخل الفم.. وأضراره وطرق علاجه

كتبت - بسمة مشالي:

01:26 م 02/12/2017 تعديل في 03:05 م

تابعنا على

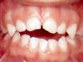
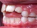
حذرت الدكتورة نسمة عبد المنعم، أخصائية طب وجراحة الفم والأسنان من خطورة عادة "مص" الأطفال إصبع الإبهام أو الأصابع الأخرى، مؤكدة على تسبب ذلك في حدوث تشوهات تبدأ من عمر ٤ سنوات أو عند بداية ظهور الأسنان الدائمة، كما أوضحت أسباب هذه العادة وأضرارها وطرق علاجها.

أسبابها

1- أسباب نفسية تتمثل في عدم شعور الطفل بالأمان والقلق.

2- اعتياد الطفل علي ممارسة هذا التصرف دون تلقي أي توجيه أو نهي من قبل الوالدين، لهذا عليهما ملاحظة طفلهما جيدًا.

3- استخدام "سكاتة" الأطفال "التيتينا".

 

 أضرارها

1- تٌصيب الفك العلوي بالضيق بجانب تشوهات في عظام سقف الحلق.

2-تظهر فراغات في الأسنان تتمثل في شكل الأصبع.

3-بروز الأسنان الأمامية والعلوية واندفاع الأسنان الأمامية السفلية للخلف.

4-تدفع الأطفال إلى تركيب أجهزة تقويم في عمر مٌبكر " قبل البلوغ".

 

طرق العلاج

1- الحرص على سلامة وصحة أطفالنا النفسية والعمل علي إشباع الطفل من الناحية العاطفية وإحساسه بالأمان.

2-وضع بعض المراهم ذات المذاق المر على أصبع الطفل المعتاد مصه ليجعله لا يطيق مذاقة السيئ، ولكن تحت إشراف الطبيب.

3- تغطية أصبع الطفل بقماشة بسيطة أو ضمادة.

4- في حالة فشل إجراء كل الحلول السابقة يجيب استشارة طبيب الأسنان ليضع جهازًا في سقف حلق الطفل، لكي يمنعه من مص إصبعه، ويسمي بجهاز" كاسر العادة" habit breaker.

 

فيديو قد يعجبك



محتوى مدفوع

إعلان

إعلان